UPLOADS FOR REVIEW - Large Unilateral Right Hydronephrosis

← Back to List

UPLOADS FOR REVIEW - Large Unilateral Right Hydronephrosis

Caption

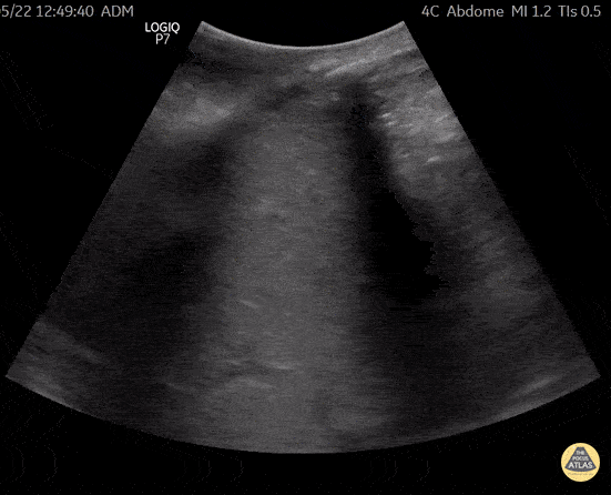
woman 64 a, brought to emergency due to abdominal pain, vomiting and nausea, abdominal pocus showed a large unilateral right hydronephrosis. The obstructive primary cause was a pelvic mass still under oncologic investigation. This is a right upper quadrant view, where a grade IV hydronephrosis is observed. This case demonstrates the importance of bedside ultrasound in the differential diagnosis of renal failure in the emergency room. @R_Tambelli

Source

https://www.thepocusatlas.com/for-review


Metadata