← Back to List
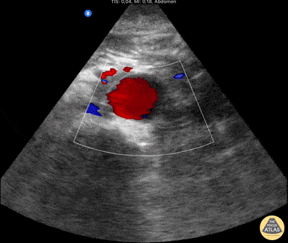
Uncomplicated, nonthrombosed, 3-cm aneurysm of the abdominal aorta Ivan Rancano Garcia
https://www.thepocusatlas.com/for-review
View: Unspecified Parasternal Long Axis Parasternal Short Axis Apical Four-Chamber Subcostal Four-Chamber Subcostal Inferior Vena Cava Right Upper Quadrant Left Upper Quadrant Suprapubic Longitudinal Suprapubic Transverse Subxiphoid Anterior Thoracic Phrenic
Normal:
Tags:
Notes: