UPLOADS FOR REVIEW - bifid median nerve

← Back to List

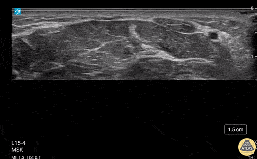
UPLOADS FOR REVIEW - bifid median nerve

Caption

30 year old female with incidental finding of bifid median nerve. Video shows scanning proximal to distally in the volar forearm starting at distal third of the forearm and ending in the carpal tunnel. In the distal third of the forearm the median nerve can be seen as one bundle and hyperechoic compared to the surrounding muscles and displays typical "honeycomb" echosignature (hyperechoic perineurium surrounding hypoechoic endoneurium/axons). At the carpal tunnel, the median nerve can be seen as relatively hypoechoic compared to the surrounding hyperechoic tendons. Flexor retinaculum visualized as hyperechoic band immediately superficial to the median nerve in the carpal tunnel. Eben Alexander, DO Devesh Patel, MD Eastern Virginia Medical School

Source

https://www.thepocusatlas.com/for-review


Metadata