Other Cardiac Pathology - LV Thrombus

← Back to List

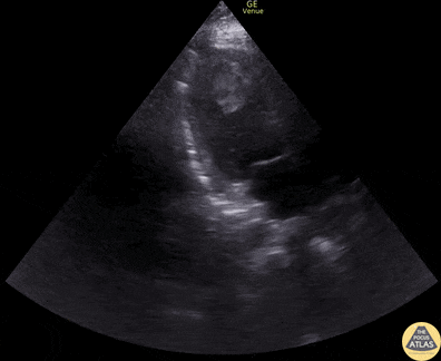
Other Cardiac Pathology - LV Thrombus

Caption

40s M with PMH HTN/HLD with no known CHF history presented with BLE edema, dyspnea, orthopnea, and weight gain. POCUS performed shortly after arrival showed markedly reduced LVEF with apical LV thrombus. The patient was initiated on a heparin drip and admitted, where formal TTE and right and left heart caths confirmed HFrEF due to ischemic cardiomyopathy and 3v CAD. Ultimately this patient improved with medical therapy but had an acute massive embolism event to b/l femoral arteries, b/l renal arteries, and SMA about 1 week into his hospitalization despite being on heparin drip while bridging to warfarin. He went to the operating room with vascular surgery and interventional cardiology for extensive thrombectomies as well as angiography but ultimately died after requiring resection of ischemic bowel and later suffering a large hemispheric embolic CVA. Dr. Kathleen Joseph, PGY-4, Denver Health Residency in Emergency Medicine Dr. Cailin Frank, Fellow, Denver Health Ultrasound Fellowship

Source

https://www.thepocusatlas.com/other-cardiac-pathology


Metadata