Other Cardiac Pathology - Retained Intracardiac Air

← Back to List

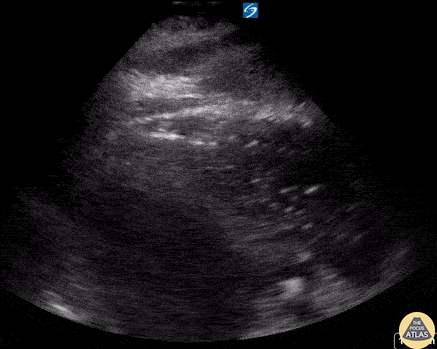
Other Cardiac Pathology - Retained Intracardiac Air

Caption

A 70 year old male presents 3 days post radiofrequency ablation for atrial fibrillation and atrial flutter. Presented to emergency department with evidence of septic shock, encephalopathy, and hypoxic respiratory failure. The above image shows evidence of air bubbles within the right atrium and ventricle, thought to be iatrogenic in nature after his recent cardiac procedure possibly due to necrotizing infection of the myocardium versus atriotracheal fistula or atrioesophageal fistula. The patient was placed in reverse Trendelenburg position (to mitigate potential embolus to cerebral venous circulation). Fortunately, following flight transfer to another facility, the intracardiac air was no longer visible on CT or echocardiography. Ian Keck

Source

https://www.thepocusatlas.com/other-cardiac-pathology


Metadata