Other Cardiac Pathology - Free Peritoneal Fluid seen with Falciform Ligament

← Back to List

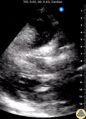
Other Cardiac Pathology - Free Peritoneal Fluid seen with Falciform Ligament

Caption

50s F found to be in cardiac arrest by EMS in the setting of 3 days hematemesis, achieved ROSC, and this image was seen on POCUS performed by EMS while packaging for transport. This subxiphoid view demonstrates the presence of organized cardiac activity with no large pericardial effusion, but free peritoneal fluid is seen adjacent to the liver, superficial to the diaphragm in this image, and the falciform ligament is also briefly seen. Zachary Hutchins South Metro Fire Rescue, Centennial, CO

Source

https://www.thepocusatlas.com/other-cardiac-pathology


Metadata