Other Cardiac Pathology - Truncus Arteriosus

← Back to List

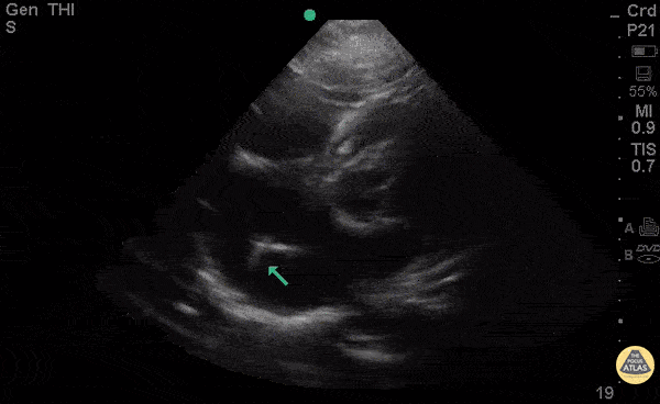
Other Cardiac Pathology - Truncus Arteriosus

Caption

35 y/o M PMH truncus arteriosus s/p multiple surgeries, bioprosthetic aortic valve, AICD, and recent treatment for endocarditis presents with rectal bleeding and syncope in setting of warfarin use for his chronic DVTs. INR was found to be 1.0. POCUS with pacemaker leads with possible clot vs vegetation attached to the tip. Concern for thrombus given pt's normal INR vs possible infected pacemaker vegetation. Dr. Bryan Jarrett - Kings County Emergency Medicine

Source

https://www.thepocusatlas.com/other-cardiac-pathology


Metadata