Other Cardiac Pathology - Truncus Arteriosus

← Back to List

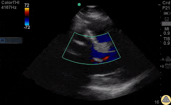
Other Cardiac Pathology - Truncus Arteriosus

Caption

Parasternal long view with color doppler of a young male presenting with chest pain and a history of surgically corrected truncus arteriosus including an aortic valve replacement. Notable here is the regurgitant jet just above the aortic outflow tract. The etiology of this jet is uncertain but could represent a persistent VSD despite correction. Dr. Bryan Jarrett - Kings County Emergency Medicine

Source

https://www.thepocusatlas.com/other-cardiac-pathology


Metadata