Other Cardiac Pathology - AV Canal Defect

← Back to List

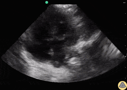
Other Cardiac Pathology - AV Canal Defect

Caption

3 month old recent immigrant to the United States with Trisomy 21, presenting with nasal congestion, cough, respiratory distress, with mild abdominal breathing, presumably with bronchiolitis. POCUS was performed to assess the lungs and heart. POCUS revealed a complete AV canal defect which is often seen in Trisomy 21. The interventricular septum has a free end with a common AV valve present and a free end of the ostium primum with ASD. Dr. Sathya Subramaniam - Kings County/SUNY Downstate - Pediatric EM Fellow

Source

https://www.thepocusatlas.com/other-cardiac-pathology


Metadata