Bowel-GI - Appendix - Colorized
Caption
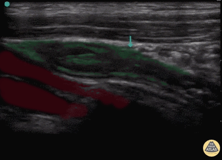
Appendix Red: Iliac vessels, Green: Appendix Images: Dr. Lindsay Davis, Dr. Hannah Kopinski. Image Editing: Michael Amador and Dr. Matthew Riscinti
Appendix Red: Iliac vessels, Green: Appendix Images: Dr. Lindsay Davis, Dr. Hannah Kopinski. Image Editing: Michael Amador and Dr. Matthew Riscinti