Other Cardiac Pathology - The Saline Flush/Bubble Test

← Back to List

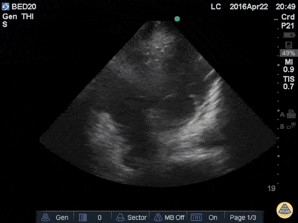
Other Cardiac Pathology - The Saline Flush/Bubble Test

Caption

The included clip demonstrates an apical 4 chamber view with saline bubbles in the right atrium and right ventricle after a quick 10ml flush through a right IJ central line. 56 y/o M with pneumonia, respiratory distress, intubated, and hemodynamically unstable was started or levophed through a peripheral IV while a right IN was started. The portable x-ray tech wa missing but rapidly flushing saline through the IJ during apical 4 clearly demonstrates saline the R circulation After placing central lines, confirmation by chest x-ray is not always available. When the patient is unstable, delayed use can be consequential. Visualizing the saline swirling in the right side of the heart immediately after a flush is highly predictive of proper catheter tip placement. Weekes AJ et al. Central vascular catheter placement evaluation using saline flush and bedside echocardiography. Acad Emerg Med. 2014 Jan;21(1):65-72. doi: 10.1111/acem.12283. Leon Chen, NP – Critical Care Medicine Service; Department of Anesthesiology and Critical Care Medicine; Memorial Sloan Kettering Cancer Center; New York, NY

Source

https://www.thepocusatlas.com/other-cardiac-pathology


Metadata