Other Cardiac Pathology - A Fib with Left Atrial Thrombus (parasternal long)

← Back to List

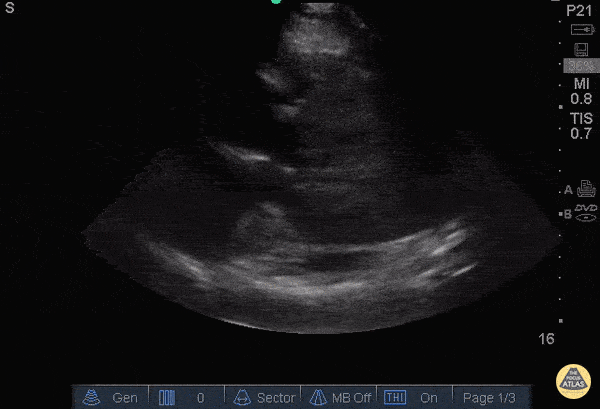
Other Cardiac Pathology - A Fib with Left Atrial Thrombus (parasternal long)

Caption

40 y/o M with atrial fibrillation, off his anticoagulation, presented with shortness of breath and was found to have a left atrial thrombus on POCUS in this parasternal long view. Differentiating a thrombus from an atrial myxoma is difficult, but seeing the object tumble and shoot around the atrium, in the setting of afib, is both dramatic and suggestive of a thrombus. Unfortunately, timing does not differentiate the two since the average myxoma can grow at up to 0.5cm/month. The patient was admitted to the cardiac intensive care unit with full resolution of the thrombus after anticoagulation. Dr. Bryan Jarrett and Dr. John Kilpatrick - SUNY Downstate/Kings County Emergency Medicine

Source

https://www.thepocusatlas.com/other-cardiac-pathology


Metadata