Other Cardiac Pathology - Venous Air Embolism

← Back to List

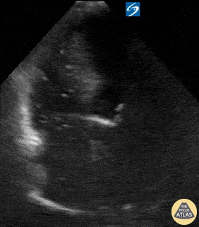
Other Cardiac Pathology - Venous Air Embolism

Caption

Pictured here is an apical four chamber view of the heart in a patient who presented for evaluation of dyspnea and was found to be in atrial fibrillation with RVR. POCUS is most notable for the presence of gas bubbles throughout the right atrium and right ventricle. Symptoms of venous air embolism can range from asymptomatic to cardiovascular collapse and death. The presence of venous air embolism may occur due to head or neck surgery, chest trauma, hemodialysis, central vein cannulation, high pressure mechanical ventilation, or thoracentesis. Rupinder Sekhon, MD & Peter Biggane, MD Central Michigan University, Emergency Medicine

Source

https://www.thepocusatlas.com/other-cardiac-pathology


Metadata