Other Cardiac Pathology - Pacer Wire Perforation

← Back to List

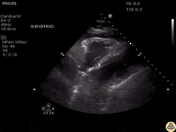
Other Cardiac Pathology - Pacer Wire Perforation

Caption

Patient with chest pain with recent history of pacemaker placement. Subxiphoid view reveals the pacer wire in the right ventricle piercing the wall, causing a pericardial effusion. Image courtesy of Robert Jones DO, FACEP @RJonesSonoEM Director, Emergency Ultrasound; MetroHealth Medical Center; Professor, Case Western Reserve Medical School, Cleveland, OH View his original post here

Source

https://www.thepocusatlas.com/other-cardiac-pathology


Metadata