Other Cardiac Pathology - LV thrombus, parasternal short axis

← Back to List

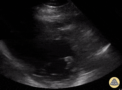
Other Cardiac Pathology - LV thrombus, parasternal short axis

Caption

Parasternal short axis view of a 47yo with PMH non-obstructive CAD incidentally found to have mildly reduced LV systolic function and an echogenic mass in LV extending to outflow tract. Determined to be a large LV thrombus of unknown etiology. Andrew Balster, MD Paul Musgrave, MD (OHSU IM POCUS fellow) @POCUSaurusDx

Source

https://www.thepocusatlas.com/other-cardiac-pathology


Metadata