Bowel-GI - Pelvic Free Fluid in Ruptured Appendicitis

← Back to List

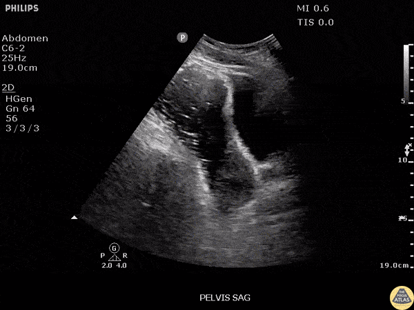
Bowel-GI - Pelvic Free Fluid in Ruptured Appendicitis

Caption

Free fluid is noted in this clip from the pelvic region during a RUSH exam in a patient with a ruptured appendicitis. Image courtesy of Robert Jones DO, FACEP @RJonesSonoEM Director, Emergency Ultrasound; MetroHealth Medical Center; Professor, Case Western Reserve Medical School, Cleveland, OH View his original post here

Source

https://www.thepocusatlas.com/bowel


Metadata