Other Cardiac Pathology - POCUS during Resuscitation

← Back to List

Other Cardiac Pathology - POCUS during Resuscitation

Caption

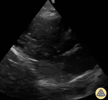
This is a PLAX view obtained during CPR . It reveals adequate compressions with the LV “squashing” and obliterating the LV lumen; then subsequently the LV lumen reappearing and recoiling, which allows the LV to refill. Renato Tambelli, @JediPocus

Source

https://www.thepocusatlas.com/other-cardiac-pathology


Metadata