Other Cardiac Pathology - Clot Within Right Atrium

← Back to List

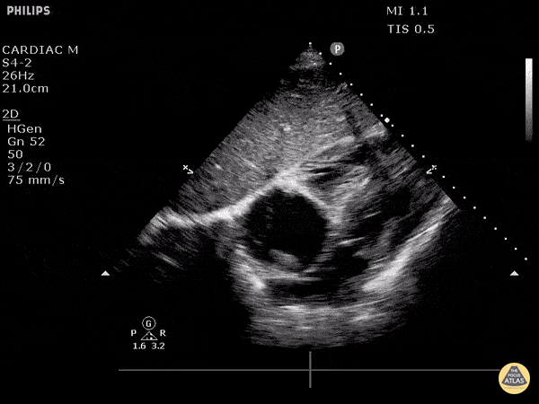
Other Cardiac Pathology - Clot Within Right Atrium

Caption

This patient initially presented post-operatively to the emergency department with complaints of dyspnea. From this subxiphoid view of the heart, we can see a hyperechoic structure suggestive of clot formation. An alternative view of this clot viewed from the right atrium and IVC junction can be seen here, termed “clot-in-transit”. The patient was subsequently diagnosed with a DVT that extended into their central femoral vein. Image courtesy of Robert Jones DO, FACEP @RJonesSonoEM Director, Emergency Ultrasound; MetroHealth Medical Center; Professor, Case Western Reserve Medical School, Cleveland, OH View his original post here

Source

https://www.thepocusatlas.com/other-cardiac-pathology


Metadata