Other Cardiac Pathology - Migrated Venous Stent Traversing Tricuspid Valve

← Back to List

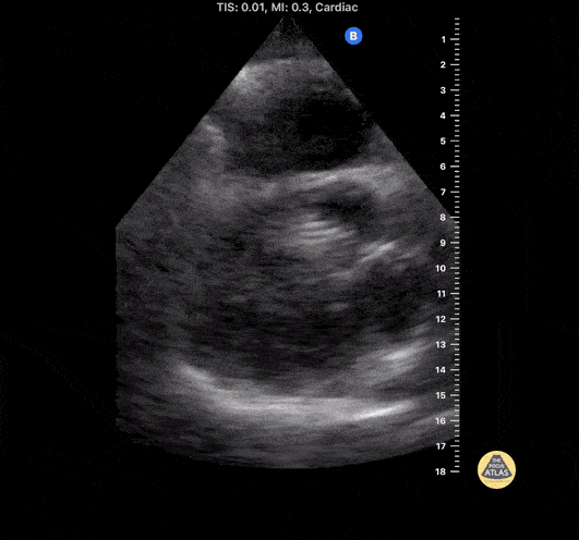
Other Cardiac Pathology - Migrated Venous Stent Traversing Tricuspid Valve

Caption

Middle aged male with recent right iliac DVT s/p thrombectomy and venous stent placement is found to have asymptomatic migration of stent into the right heart. In the subxiphoid view, the hyperechoic coiled-appearing stent is seen traversing the tricuspid valve. Percutaneous attempt at removal was unsuccessful, so he ultimately underwent open-heart surgery. Contributed by: Eric Reid, MD

Source

https://www.thepocusatlas.com/other-cardiac-pathology


Metadata