Other Cardiac Pathology - Viral vs. Postpartum Cardiomyopathy A4C

← Back to List

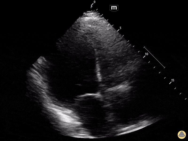
Other Cardiac Pathology - Viral vs. Postpartum Cardiomyopathy A4C

Caption

These images are from a bedside echo performed on a 29-year-old female who presented in significant respiratory distress to the ER. She had no significant medical history besides giving birth a few months prior. Required significant respiratory support and was found to have significantly reduced cardiac function on echo secondary to viral vs. postpartum cardiomyopathy. Dakota Nerland, DO PGY-3; Marion Memmot, DO PGY-1

Source

https://www.thepocusatlas.com/other-cardiac-pathology


Metadata