IVC & Abnormal Venous Waveforms - Significantly Enlarged IVC in Acute Heart Failure

← Back to List

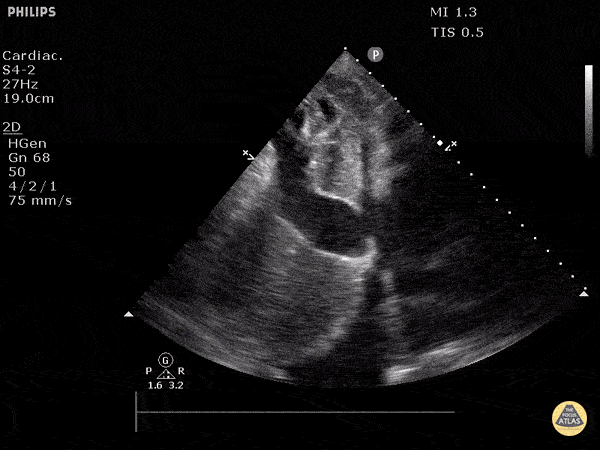
IVC & Abnormal Venous Waveforms - Significantly Enlarged IVC in Acute Heart Failure

Caption

This is a subxiphoid long axis view of the IVC demonstrating significant enlargement with minimal collapse with respiratory variation. The hepatic vein is also seen entering the IVC and is noted to be quite distended consistent with very high filling pressures. Justin Bowra MBBS, FACEM, CCPU Emergency Physician, RNSH et al. (Dr. Vahtrick)

Source

https://www.thepocusatlas.com/ivc-abnormal-venous-waveforms


Metadata