IVC & Abnormal Venous Waveforms - IVC Thrombus

← Back to List

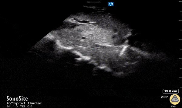
IVC & Abnormal Venous Waveforms - IVC Thrombus

Caption

A 30-year-old man presented with shortness of breath. Normally fit and well with no past medical history apart from a lump in right axilla. Observations were stable apart from a high respiratory rate. Physical examination revealed more lymph nodes in the groin. Working diagnosis of Lymphoma and sent for a CT chest, abdomen and pelvis. In the interim, point of care ultrasound showed clot in the IVC. Confirmed on CT scan. Patient was ultimately diagnosed with metastatic testicular cancer and tumour thrombus in the IVC, which was managed conservatively with anticoagulation. Dr Parmy Deol, Emergency Physician, Chelsea and Westminster hospital, London

Source

https://www.thepocusatlas.com/ivc-abnormal-venous-waveforms


Metadata