Bowel-GI - Retroperitoneal Hemorrhage

← Back to List

Bowel-GI - Retroperitoneal Hemorrhage

Caption

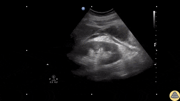
An elderly male presented to the ED with hypotension and abdominal pain. Ultrasound revealed retroperitoneal fluid in perirenal and anterior pararenal spaces. Image courtesy of Robert Jones DO, FACEP @RJonesSonoEM Director, Emergency Ultrasound; MetroHealth Medical Center; Professor, Case Western Reserve Medical School, Cleveland, OH View his original post here

Source

https://www.thepocusatlas.com/bowel


Metadata