IVC & Abnormal Venous Waveforms - Look at the IVC in Cardiac Tamponade

← Back to List

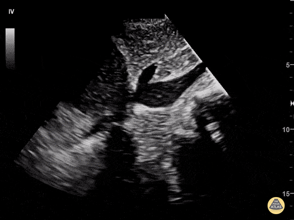
IVC & Abnormal Venous Waveforms - Look at the IVC in Cardiac Tamponade

Caption

58 y/o F with PMHx of metastatic adenocarcinoma of lung presents with progressive SOB for one week. The patient was tachycardic to 103, normotensive, afebrile, mildly tachypneic and saturating 95% on room air. EKG demonstrated sinus tachycardia without electrical alternans. POCUS revealed a large, complex, loculated, anterior pericardial effusion. Sonographic findings of right atrial/ventricle collapse and IVC dilatation confirmed cardiac tamponade. In this long-axis subxiphoid view, the IVC is seen enlarged and has minimal respiratory variation. Common ultrasound findings of cardiac tamponade include: RV end-diastolic collapse, RA systolic collapse, plethoric IVC, septal “bounce”, decrease of mitral valve inflow velocity >25% with inspiration. Echocardiography is the modality of choice to evaluate for pericardial effusion and to assess for cardiovascular compromise (right chamber collapse and IVC). Accurate determination of this patient’s tamponade allowed for rapid surgical intervention. Patient underwent pericardial window with partial pericardiectomy a few hours after presenting to the ED. Dr. Pumarejo, Dr. Tran and Dr. Patel. Aventura Hospital and Medical Center Emergency Medicine.

Source

https://www.thepocusatlas.com/ivc-abnormal-venous-waveforms


Metadata