Left Ventricular Dysfunction - Regional Wall Motion Abnormality

← Back to List

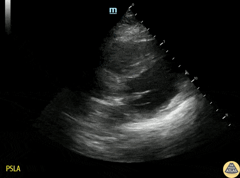
Left Ventricular Dysfunction - Regional Wall Motion Abnormality

Caption

60s M presented with L arm and axillary pain for 1 day. EKG with subtle ST elevation in II/III and depression in I, aVL without meeting STEMI criteria. HsTrop elevated to about 25,000. POCUS demonstrated hypokinesis of the inferior and lateral walls. Cardiology felt most c/w NSTEMI and missed inferior MI. TTE confirmed regional wall motion abnormalities, and after medical optimization, pt went to cath lab and had RCA occlusion diagnosed and stented. Dr. Spencer Seballos, PGY1 Denver Health Residency in Emergency Medicine

Source

https://www.thepocusatlas.com/left-ventricular-dysfunction


Metadata