Left Ventricular Dysfunction - Sepsis-Induced Cardiomyopathy

← Back to List

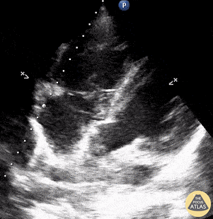
Left Ventricular Dysfunction - Sepsis-Induced Cardiomyopathy

Caption

Pictured is an apical 4 chamber view of a patient who presented with sepsis secondary to lobar pneumonia and was found to have sepsis-induced cardiomyopathy. Appreciate both LV and RV systolic dysfunction. Johannes Achenbach

Source

https://www.thepocusatlas.com/left-ventricular-dysfunction


Metadata