Left Ventricular Dysfunction - Parasternal Short Axis: Sepsis-induced cardiomyopathy

← Back to List

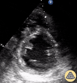
Left Ventricular Dysfunction - Parasternal Short Axis: Sepsis-induced cardiomyopathy

Caption

Seen here is a parasternal short-axis view from a patient who presented with sepsis. POCUS was notable for sepsis-induced cardiomyopathy. Johannes Achenbach

Source

https://www.thepocusatlas.com/left-ventricular-dysfunction


Metadata