Left Ventricular Dysfunction - Biventricular Failure Parasternal Long

← Back to List

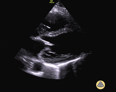
Left Ventricular Dysfunction - Biventricular Failure Parasternal Long

Caption

50 y/o M PMH methamphetamine abuse presents in respiratory failure with cool, mottled skin and poor capillary refill. Patient was tachycardic, hypothermic with multiple signs of end organ dysfunction. POCUS quickly narrowed the differential by demonstrating clear, severe, reduced ejection fraction by visual estimation and a plethoric IVC without respiratory variation. Patient was ultimately started on dobutamine and transferred to the MICU for treatment of cardiogenic shock. Dr. Jaclyn Walker, Dr. Matthew Riscinti - Denver Health Emergency Medicine

Source

https://www.thepocusatlas.com/left-ventricular-dysfunction


Metadata