Left Ventricular Dysfunction - Bi-ventricular Failure in Vasculitis

← Back to List

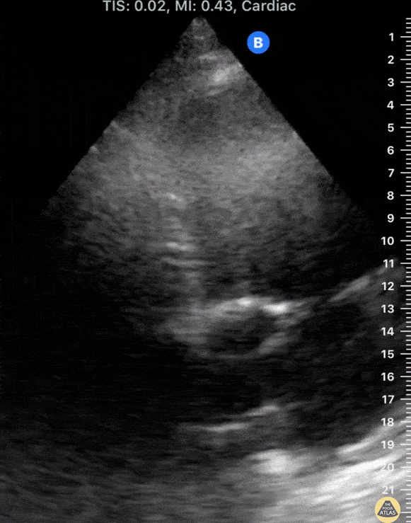
Left Ventricular Dysfunction - Bi-ventricular Failure in Vasculitis

Caption

24-yo-male who had been diagnosed with granulomatosis with polyangiitis 10 months prior presented with DOE and progressive bilateral lower extremity edema. Clinical suspicion of cardiac dysfunction was confirmed by POCUS; seen here is the apical 5-chamber view, nearly unable to fit on screen due to severity of bi-ventricular dilation and impaired systolic function. Tessa W. Damm, DO Intensivist, Critical Care Medicine & Neurocritical Care. Wisconsin, USA @DrDamm

Source

https://www.thepocusatlas.com/left-ventricular-dysfunction


Metadata