← Back to List
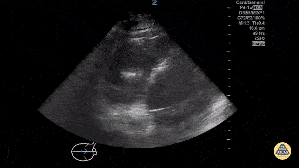
Disorganized cardiac activity consistent with ventricular fibrillation. Sukh Singh, MD
https://www.thepocusatlas.com/left-ventricular-dysfunction
View: Unspecified Parasternal Long Axis Parasternal Short Axis Apical Four-Chamber Subcostal Four-Chamber Subcostal Inferior Vena Cava Right Upper Quadrant Left Upper Quadrant Suprapubic Longitudinal Suprapubic Transverse Subxiphoid Anterior Thoracic Phrenic
Normal:
Tags:
Notes: