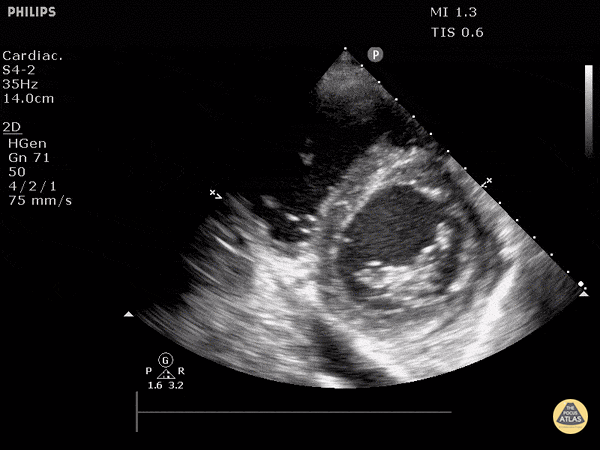
Left Ventricular Dysfunction - Moderately Reduced Ejection Fraction - Basal Parasternal Short Axis

← Back to List

Left Ventricular Dysfunction - Moderately Reduced Ejection Fraction - Basal Parasternal Short Axis

Caption

This image is a basal parasternal short axis view demonstrating a moderately reduced ejection fraction Justin Bowra MBBS, FACEM, CCPU Emergency Physician, RNSH et al. (Dr. Vahtrick)

Source

https://www.thepocusatlas.com/left-ventricular-dysfunction


Metadata