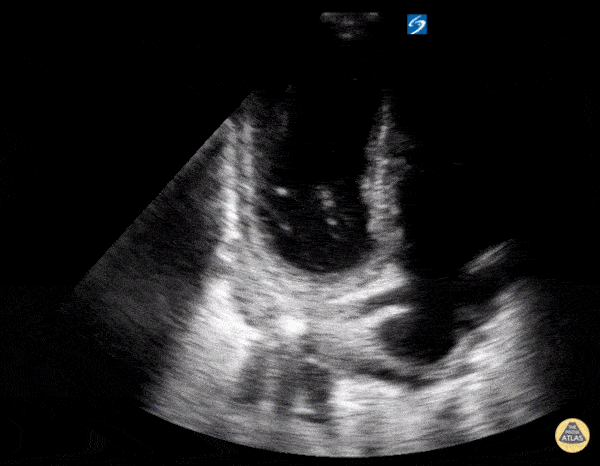
Left Ventricular Dysfunction - Apical Ballooning

← Back to List

Left Ventricular Dysfunction - Apical Ballooning

Caption

A 50 years old, complaining of dyspnoea and chest pain. She had no prior history of cardiopulmonary disease. Initial ultrasound of the lung fields demonstrated plenty of B-lines bilaterally. An apical cardiac view (view is flipped with LV on left side of screen) demonstrates hypokinesis & aneurysmal dilation of the apex consistent with Takotsubo's cardiomyopathy. The patient's heart failure was managed supportively and a catheterization was performed during hospitalization that showed normal coronary artery stenosis. She had a full recovery Ilan Ben-Shabat 5th year medical student Aspiring emergency physician

Source

https://www.thepocusatlas.com/left-ventricular-dysfunction


Metadata