Left Ventricular Dysfunction - Decreased EF (Parasternal Long)

← Back to List

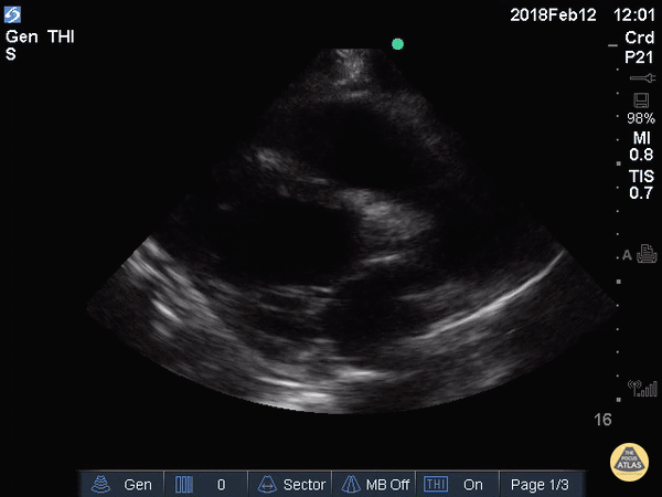
Left Ventricular Dysfunction - Decreased EF (Parasternal Long)

Caption

An elderly gentleman w/ non-ischemic cardiomyopathy 2/2 meth use and a very poor EF. EPSS was 2.21 when measured in parasternal long axis correlating with severely reduce ejection fraction. Greg Powell, MD

Source

https://www.thepocusatlas.com/left-ventricular-dysfunction


Metadata