Left Ventricular Dysfunction - Ventricular Fibrillation

← Back to List

Left Ventricular Dysfunction - Ventricular Fibrillation

Caption

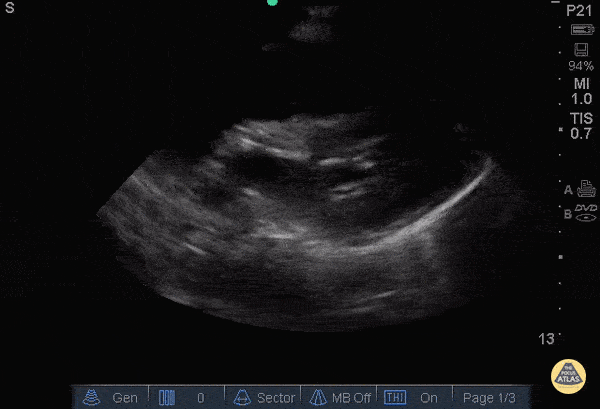
Elderly F w/ PMHx HTN and metastatic cancer arrived as a notification for sudden, witnessed syncope. EMS found PEA on EKG, intubated her, delivered 1 shock by AED, and obtained ROSC after 2 rounds of Epi. During transport she became pulseless again, and a 2nd ROSC was achieved w/ Epi in ED. During pulse check echo was used to evaluate for organized cardiac activity. Echo revealed a mild pericardial effusion w/o tamponade in PLAX, normal cardiac architecture, and absence of organized atrial and ventricular contractions. Disorganized ventricular movement correlated w/ VFib on the monitor. Rescuer pulse palpation is only 78% accurate according to Tibballs and Russell (2008). POCUS in cardiac arrest allows for the assessment of organized cardiac activity w/o a palpable pulse, and for further evaluation of the Hs and Ts in PEA arrest. Given the need to maintain coronary perfusion w/ high quality CPR, the PLAX view is typically the fastest, provides actionable information and can be performed during standard ACLS pulse checks. Tibballs J, Russell P. "Reliability of pulse palpation by healthcare personnel to diagnose paediatric cardiac arrest." Resuscitation 2008; 78: 135-40. Submitted by Paul Pukurdpol, MD @PaulyPocket

Source

https://www.thepocusatlas.com/left-ventricular-dysfunction


Metadata