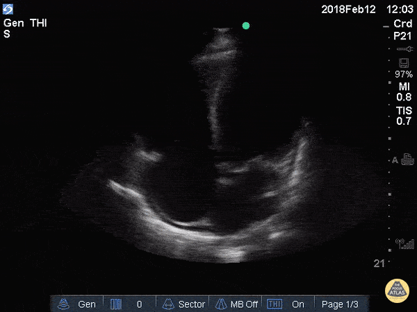
Left Ventricular Dysfunction - Reduced EF (Apical 4 Chamber)

← Back to List

Left Ventricular Dysfunction - Reduced EF (Apical 4 Chamber)

Caption

An elderly gentleman with non-ischemic cardiomyopathy 2/2 meth use and a very poor EF. EPSS was 2.21 when measured in parasternal long axis correlating with severely reduce ejection fraction. Greg Powell, MD - ULCA/Harbor

Source

https://www.thepocusatlas.com/left-ventricular-dysfunction


Metadata