Bowel-GI - Normal Appendix blind end

← Back to List

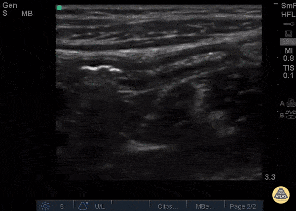
Bowel-GI - Normal Appendix blind end

Caption

12 y/o M with nausea vomiting fevers and vague “belly pain.” Patient mildly tender in suprapubic area. POCUS visualized a normal appendix is seen. A normal appendix is identified by a blind-ending tubular structure (as seen in this image). It should be <6mm diameter measured from outer wall to outer wall (although 6mm-7mm has also been described). This patient’s appendix was measure to be 5.1mm (see still image). Dr. Sathya Subramaniam - Children’s Hospital of Philadelphia

Source

https://www.thepocusatlas.com/bowel


Metadata