Left Ventricular Dysfunction - Reverse Takotsubo Cardiomyopathy

← Back to List

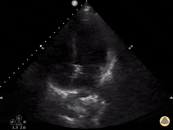
Left Ventricular Dysfunction - Reverse Takotsubo Cardiomyopathy

Caption

A 52-year-old female presented to the ED with acute onset of upper abdominal pain and cough productive of frothy, pink sputum. She was ill-appearing, tachypneic, tachycardic, and hypotensive. POCUS revealed severe hypokinesis of the LV basal wall with a hyperdynamic apex, and diffuse B lines in both hemithoraces. She was in cardiogenic shock secondary to basal (aka reverse) Takotsubo cardiomyopathy (TCM). This variant accounts for only ~3% of TCM cases. Interestingly, 6 months ago she suffered from the typical (apical) variant. The recurrence rate in the 1st year is ~1.5%, but having a different variant is even more rare! (The U/S clip has been slowed down to make it easier to visualize the RMWAs.) Dr. Sam Cochran

Source

https://www.thepocusatlas.com/left-ventricular-dysfunction


Metadata