Left Ventricular Dysfunction - Takotsubo Cardiomyopathy in a Patient with Chest Pain

← Back to List

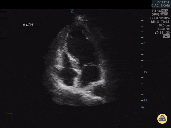
Left Ventricular Dysfunction - Takotsubo Cardiomyopathy in a Patient with Chest Pain

Caption

The Case: A 45 year old with history of diabetes presented with chest pain and shortness of breath. Cardiac #POCUS demonstrates LV apical ballooning with basal hypercontraction consistent with Takotsubo. This was confirmed with normal coronaries on cardiac cath. Image courtesy of IUEM Ultrasound Original Twitter Post can be found here.

Source

https://www.thepocusatlas.com/left-ventricular-dysfunction


Metadata