Left Ventricular Dysfunction - LV Failure

← Back to List

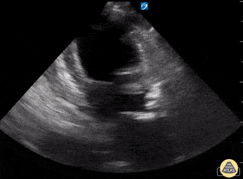
Left Ventricular Dysfunction - LV Failure

Caption

Pictured is an apical 2 chamber view from a 60-year-old female who presented to our ED with acute hypoxic respiratory failure. Note the presence of LVH and LV systolic dysfunction. PLAX view additionally confirmed the presence of critical aortic stenosis; lung views were notable for >3 B-lines per frame; all consistent with her clinical picture of acute cariogenic pulmonary edema. Guillermo A. Obregon MS-4. Central Michigan University Emergency Medicine Residency Additional contributors: Brian Brazeau MD, Harrison Zeitler MD, Therese Mead DO, RDMS, FACEP

Source

https://www.thepocusatlas.com/left-ventricular-dysfunction


Metadata