Left Ventricular Dysfunction - LV Thrombus

← Back to List

Left Ventricular Dysfunction - LV Thrombus

Caption

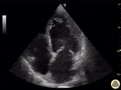
A 50-year-old male presented to the ED with signs/symptoms of acute ischemic cerebrovascular accident (hemiplegia and dyslalia). Head CT confirmed the presence of a subacute ischemic event. Bedside POCUS (apical four chamber view) revealed severe LV global hypokinesis and the presence of an apical thrombus; the likely etiology of his cardioembolic event. Renato Temabli, EM Physician Brazil @JediPocus

Source

https://www.thepocusatlas.com/left-ventricular-dysfunction


Metadata