Left Ventricular Dysfunction - Atrial fibrillation

← Back to List

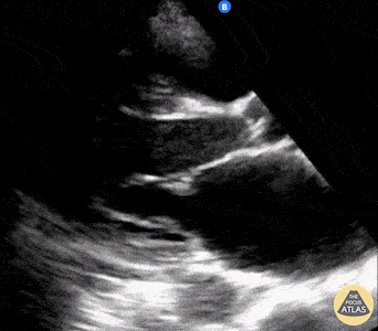
Left Ventricular Dysfunction - Atrial fibrillation

Caption

A 60-year-old female presented with palpitations; found to have atrial fibrillation. Parasternal long POCUS was notable for both an enlarged LA as well as depressed LV systolic function. These concurrent diagnoses enabled initiation of proper rate-control while also being mindful to not worsen HF exacerbation (avoiding b-blockade). The combination of A.fib as well as LV dysfunction also made this patient particularly high risk of thromboembolic events; she was therefore also initiated on therapeutic anticoagulation. Shahad Al Chalaby, MD. PGY-2, Internal Medicine Highland Hospital, Almeda Health System, Internal Medicine Residency Program. CA, USA @shahad_Chalaby

Source

https://www.thepocusatlas.com/left-ventricular-dysfunction


Metadata