Left Ventricular Dysfunction - Drug-induced Cardiomyopathy

← Back to List

Left Ventricular Dysfunction - Drug-induced Cardiomyopathy

Caption

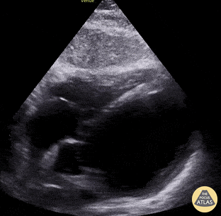
52-yo-male with PMH methamphetamine use presented with 1 month history of increasing DOE, orthopnea, and episodic atypical sharp chest pain. EKG revealed LVH with inferolateral T-wave inversions; troponin was indeterminate (making ACS less likely). POCUS demonstrated extremely reduced LVEF leading to a diagnosis of new systolic heart failure. Subsequent formal TTE demonstrated LVEF 10%; left heart cath revealed nonobstructive CAD. Final diagnosis of methamphetamine induced cardiomyopathy was made. Mike Heffler, MD Denver Health Emergency Medicine

Source

https://www.thepocusatlas.com/left-ventricular-dysfunction


Metadata