Left Ventricular Dysfunction - Takotsubo Cardiomyopathy

← Back to List

Left Ventricular Dysfunction - Takotsubo Cardiomyopathy

Caption

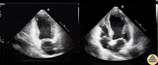
A 50 year old male with community acquired pneumonia presented to the ED with worsening symptoms, abnormal EKG, and elevated troponin without an obstructing lesion on cath. Bedside echo revealed akinesia of the entire mid and apical left ventricle indicative of Takotsubo cardiomyopathy on apical 2 chamber (left) and apical 4 chamber (right) views. Image courtesy of Robert Jones DO, FACEP @RJonesSonoEM Director, Emergency Ultrasound; MetroHealth Medical Center; Professor, Case Western Reserve Medical School, Cleveland, OH View his original post here

Source

https://www.thepocusatlas.com/left-ventricular-dysfunction


Metadata