Left Ventricular Dysfunction - Ventricular Fibrillation

← Back to List

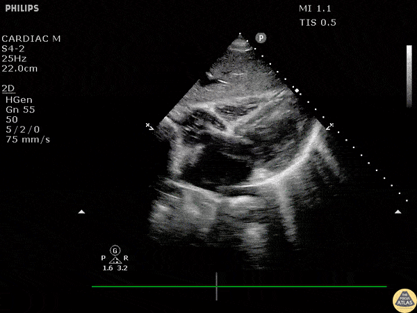
Left Ventricular Dysfunction - Ventricular Fibrillation

Caption

A middle aged male presents to the ED in cardiac arrest. Pre-hospital assessment showed asystole and AED indicated no shock advised. Subcostal echo revealed a quivering left ventricle indicative of fine ventricular fibrillation. Image courtesy of Robert Jones DO, FACEP @RJonesSonoEM Director, Emergency Ultrasound; MetroHealth Medical Center; Professor, Case Western Reserve Medical School, Cleveland, OH View his original post here

Source

https://www.thepocusatlas.com/left-ventricular-dysfunction


Metadata