Left Ventricular Dysfunction - Post Myocardial Infarction VSD

← Back to List

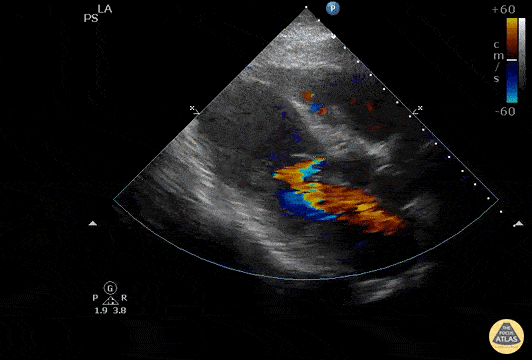
Left Ventricular Dysfunction - Post Myocardial Infarction VSD

Caption

This patient presented with worsening “GERD” symptoms over the past 8 days, found to have markedly elevated troponin and anterior STEMI on ECG. The parasternal long axis view revealed a ventricular septal defect. Using color doppler, flow can be visualized as the color jet passing across the septum. Image courtesy of Robert Jones DO, FACEP @RJonesSonoEM Director, Emergency Ultrasound; MetroHealth Medical Center; Professor, Case Western Reserve Medical School, Cleveland, OH View his original post here

Source

https://www.thepocusatlas.com/left-ventricular-dysfunction


Metadata