Left Ventricular Dysfunction - Ventricular Fibrillation

← Back to List

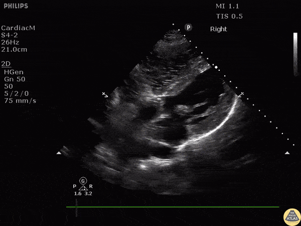
Left Ventricular Dysfunction - Ventricular Fibrillation

Caption

Subcostal view of a patient reentering ventricular fibrillation following ROSC. Image courtesy of Robert Jones DO, FACEP @RJonesSonoEM Director, Emergency Ultrasound; MetroHealth Medical Center; Professor, Case Western Reserve Medical School, Cleveland, OH View his original post here

Source

https://www.thepocusatlas.com/left-ventricular-dysfunction


Metadata