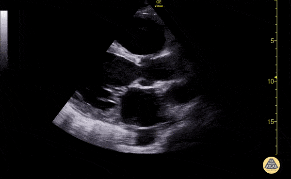
Left Ventricular Dysfunction - Reduced Ejection Fraction (Parasternal Long Axis View)

← Back to List

Left Ventricular Dysfunction - Reduced Ejection Fraction (Parasternal Long Axis View)

Caption

Patient with systolic heart failure with reduced ejection fraction. Nigist Taddese MBChB Division of Hospital Medicine, John H Stroger Hospital of Cook County

Source

https://www.thepocusatlas.com/left-ventricular-dysfunction


Metadata