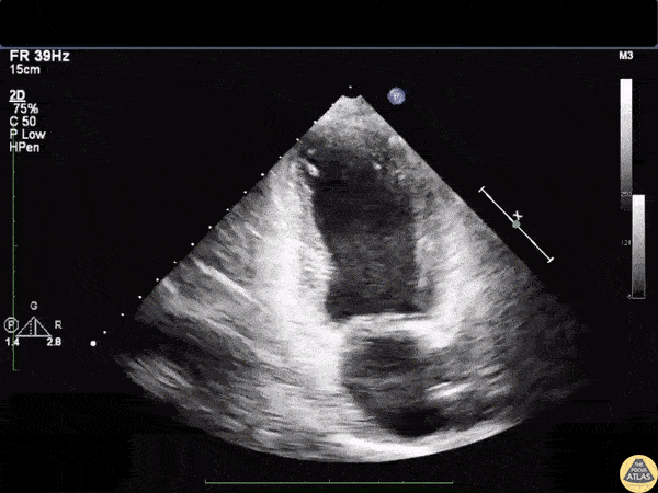
Left Ventricular Dysfunction - Takotsubo Cardiomyopathy on Apical Two Chamber View

← Back to List

Left Ventricular Dysfunction - Takotsubo Cardiomyopathy on Apical Two Chamber View

Caption

Apical 2 chamber view showing akinesia of the apical walls characteristic of Takotsubo cardiomyopathy. Image courtesy of Robert Jones DO, FACEP @RJonesSonoEM Director, Emergency Ultrasound; MetroHealth Medical Center; Professor, Case Western Reserve Medical School, Cleveland, OH View his original post here

Source

https://www.thepocusatlas.com/left-ventricular-dysfunction


Metadata