Left Ventricular Dysfunction - Postpartum Cardiomyopathy

← Back to List

Left Ventricular Dysfunction - Postpartum Cardiomyopathy

Caption

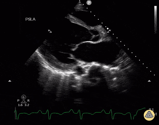
This healthy patient presented 3 months postpartum with progressive dyspnea over the past few weeks found to have new postpartum cardiomyopathy with EF about 10-15% as demonstrated in the parasternal long axis view. Image courtesy of Robert Jones DO, FACEP @RJonesSonoEM Director, Emergency Ultrasound; MetroHealth Medical Center; Professor, Case Western Reserve Medical School, Cleveland, OH View his original post here.

Source

https://www.thepocusatlas.com/left-ventricular-dysfunction


Metadata