Left Ventricular Dysfunction - Post COVID Myocarditis

← Back to List

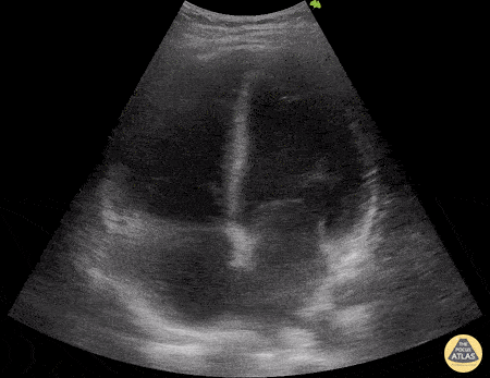
Left Ventricular Dysfunction - Post COVID Myocarditis

Caption

A 29-year-old patient, with a recent history of mild COVID 19 infection, consulted for a 5-day history of fever, associated with abdominal pain, arthralgia and myalgia. Hypotensive on admission (80/50 mmHg), with HR 100 bpm and echocardiography performed with a convex transducer: LVEF 12%, with global hypokinesia and dilated cavities. The diagnosis of post-COVID myocarditis is made. Dr. Libardo Valencia Chicué

Source

https://www.thepocusatlas.com/left-ventricular-dysfunction


Metadata